PROCEDURY

Wybielanie

Praktyka Ortodontyczna OrthoSmile wyposażona jest w nowoczesne lampy do przeprowadzania zabiegu wybielania.

Przygotowanie do zabiegu – profesjonalna higienizacja

Przed przystąpieniem do zabiegu wybielania, ważne jest, aby zęby zostały profesjonalnie oczyszczone. W tym celu wykonuje się piaskowanie oraz skaling, które usuwają osady i kamień nazębny, zapewniając skuteczne wybielanie. Wybielaniu poddawane są zęby w obrębie naturalnej ekspozycji podczas uśmiechu – powierzchnie wargowe i policzkowe do drugiego zęba przedtrzonowego.

Jeżeli planowane jest leczenie ortodontyczne aparatem stałym, a jednym z elementów terapii jest rekonstrukcja zniszczonych lub niewymiarowych zębów przy użyciu materiału kompozytowego (tzw. bonding, odbudowy kompozytowe). Rekomenduje się przeprowadzenie wybielania przed założeniem aparatu. Dzięki temu kolor rekonstrukcji zostanie idealnie dopasowany do docelowego koloru zębów.

Przebieg zabiegu

Aby ocenić efektywność wybielania, kolor zębów jest określany przed i po zabiegu za pomocą kolornika. Na oczyszczone i osuszone zęby nakłada się żel wybielający, który następnie jest aktywowany za pomocą specjalnego światła lampy. Efekty są natychmiastowe, a zęby zazwyczaj stają się jaśniejsze o kilka tonów, co jest zauważalne u każdego pacjenta.

Okres pozabiegowy

Przed przystąpieniem do zabiegu wybielania, ważne jest, aby zęby zostały profesjonalnie oczyszczone. W tym celu wykonuje się piaskowanie oraz skaling, które usuwają osady i kamień nazębny, zapewniając skuteczne wybielanie. Wybielaniu poddawane są zęby w obrębie naturalnej ekspozycji podczas uśmiechu – powierzchnie wargowe i policzkowe do drugiego zęba przedtrzonowego.

Jeżeli planowane jest leczenie ortodontyczne aparatem stałym, a jednym z elementów terapii jest rekonstrukcja zniszczonych lub niewymiarowych zębów przy użyciu materiału kompozytowego (tzw. bonding, odbudowy kompozytowe). Rekomenduje się przeprowadzenie wybielania przed założeniem aparatu. Dzięki temu kolor rekonstrukcji zostanie idealnie dopasowany do docelowego koloru zębów.

Przeciwwskazania do zabiegu

Choć wybielanie zębów jest bezpiecznym i skutecznym zabiegiem, istnieją pewne przeciwwskazania do jego wykonania:

  Ubytki próchnicowe i niepróchnicowe,
•  Nieszczelne wypełnienia,
  Aktywny stan zapalny dziąseł,
  Wiek poniżej 16. roku życia,
  Ciąża i karmienie piersią.

Zaleca się, aby osoby, które zakończyły leczenie ortodontyczne aparatem stałym, poczekały minimum miesiąc po zdjęciu aparatu przed wykonaniem zabiegu wybielania, aby zęby mogły się odpowiednio ustabilizować.

Dbaj o swoje zęby i ciesz się pięknym, promiennym uśmiechem!

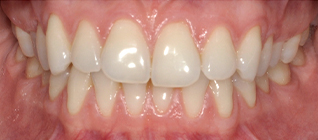
Metamorfoza naszej pacjentki

wybielanie1_METAMORFOZY_FOTO_KOREKTA_PRZED-PO_1 wybielanie_METAMORFOZY_FOTO_KOREKTA_PRZED-PO_2

>   Pacjentka, przed i po zabiegu.

Naszą misją jest dbałość o doskonałe efekty estetyczne,
poprawiające urodę twarzy i pewność siebie!

Dzięki wyleczeniu wady zgryzu, zharmonizowaniu rysów twarzy, wybieleniu zębów oraz zrekonstruowaniu startego uzębienia twarze pacjentów pięknieją. Leczenie ortodontyczne, które przeszli pacjenci w naszym gabinecie zmieniło ich życie na lepsze. Lepsza prezencja osiągnięta dzięki terapii ortodontycznej poprawia samopoczucie i podnosi samoocenę. Staje się także jednym ze źródeł osobistego i zawodowego sukcesu. Nagrodą za ciężką drogę i wysiłek włożony w leczenie ortodontyczne jest atrakcyjny wygląd i większe zadowolenie z życia.

Naszą misją jest dbałość o doskonałe efekty estetyczne, poprawiające urodę twarzy i pewność siebie!

Dzięki wyleczeniu wady zgryzu, zharmonizowaniu rysów twarzy, wybieleniu zębów oraz zrekonstruowaniu startego uzębienia twarze pacjentów pięknieją. Leczenie ortodontyczne, które przeszli pacjenci w naszym gabinecie zmieniło ich życie na lepsze. Lepsza prezencja osiągnięta dzięki terapii ortodontycznej poprawia samopoczucie i podnosi samoocenę. Staje się także jednym ze źródeł osobistego i zawodowego sukcesu. Nagrodą za ciężką drogę i wysiłek włożony w leczenie ortodontyczne jest atrakcyjny wygląd i większe zadowolenie z życia.

Jak to działa

Leczenie ortodontyczne zmienia życie na lepsze!

Konsultacja

Pierwsza wizyta to konsultacja ortodontyczna. Lekarz przeprowadza rozmowę z Pacjentem na temat jego potrzeb i oczekiwań.

Plan leczenia

Po dokładnej analizie zebranych materiałów opracowywany jest indywidualny plan leczenia,
przedstawiany w trakcie dodatkowego spotkania z pacjentem.

Proces leczenia

Przeprowadzany jest pod okiem wykwalifikowanych specjalistów, w oparciu o najnowsze metody i trendy w leczeniu ortodontycznym.