LECZENIE

Leczenie ortodontyczne u pacjentów z chorobą przyzębia

Jeśli zmagasz się z chorobą przyzębia, prawdopodobnie zastanawiasz się, czy leczenie ortodontyczne jest dla Ciebie odpowiednie. Zrozumiałe jest, że obawy o zdrowie dziąseł i kości mogą powodować wątpliwości. Chcielibyśmy Cię zapewnić, że w Twojej sytuacji leczenie ortodontyczne może nie tylko poprawić estetykę Twojego uśmiechu, ale również pomóc w utrzymaniu zdrowia jamy ustnej na długie lata.

Twoja droga do zdrowego uśmiechu!

Co zapewniamy?

Rozpoczęcie leczenia ortodontycznego to samodzielna decyzja. Jako zespół specjalistów, ortodontów i periodontologów towarzyszymy na każdym etapie, dbając o to, by leczenie było jak najbardziej komfortowe i efektywne.

Zapewniamy pełne wsparcie w zakresie higieny jamy ustnej – przeprowadzamy przez wszystkie kroki, by każdy osobiście mógł dbać o zdrowie dziąseł i zębów. Monitorujemy stan tkanek przyzębia, aby zapobiec wszelkim problemom, a sam proces leczenia ortodontycznego jest dopasowany do indywidualnych potrzeb i możliwości. Pragniemy, by w naszej klinice każdy poczuł się pewnie i komfortowo.

Dlaczego warto rozważyć leczenie ortodontyczne?

1. Poprawa układu zębów

Często w przypadku choroby przyzębia zęby stoją nieprawidłowo. Leczenie ortodontyczne pomoże w przywróceniu prawidłowego ustawienia zębów, co sprawi, że będą one bardziej stabilne. Dzięki temu, Twoje dziąsła i kości będą mniej narażone na dodatkowe obciążenia, a Ty poczujesz większy komfort na co dzień.

2. Zwiększenie pewności siebie

Prawidłowo ustawione zęby to nie tylko lepsze funkcjonowanie jamy ustnej, ale i piękniejszy uśmiech. Wiemy, jak ważna jest dla Ciebie estetyka, dlatego ortodoncja pozwoli Ci cieszyć się uśmiechem, który będzie dla Ciebie powodem do dumy.

3. Łatwiejsza higiena jamy ustnej

Wiesz, jak ważne jest utrzymanie zdrowia dziąseł, zwłaszcza jeśli masz chorobę przyzębia. Leczenie ortodontyczne ułatwi Ci codzienną higienę. Kiedy Twoje zęby będą odpowiednio ustawione, będziesz miał łatwiejszy dostęp do przestrzeni międzyzębowych, co pomoże w skuteczniejszym czyszczeniu i utrzymaniu zdrowych dziąseł. Mniejsza ilość nagromadzonego płytki nazębnej to mniejsze ryzyko dalszego pogłębiania choroby przyzębia.

4. Lepsze przygotowanie do leczenia protetycznego

Jeśli w przyszłości będziesz potrzebował korony, mostu lub implantu, ortodoncja przygotuje Twoje zęby do takich zabiegów. Dzięki prawidłowemu ustawieniu zębów, protetyka będzie bardziej skuteczna, a efekty leczenia będą trwałe.

5. Bezpieczne leczenie z zachowaniem ostrożności

Wiemy, że choroba przyzębia wymaga szczególnej troski. Właśnie dlatego nasze leczenie ortodontyczne jest przeprowadzane z wyjątkową ostrożnością. Wszystkie siły ortodontyczne są precyzyjnie dobrane, aby nie nadwyrężyć tkanek przyzębia, a współpraca z periodontologiem pozwala na bieżąco monitorować stan Twoich dziąseł i kości. Dzięki temu możesz mieć pewność, że Twoje zdrowie jest zawsze na pierwszym miejscu.

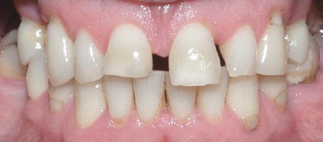
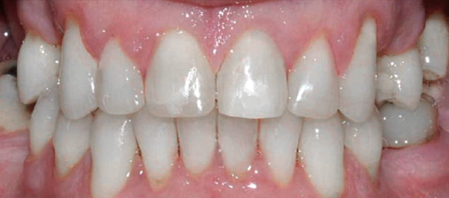
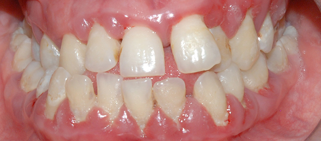
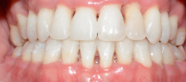
>   Zgryzy pacjentów z chorobami przyzębia przed i po leczeniu ortodontycznym

Twoje zdrowie i komfort to nasz priorytet

Leczenie ortodontyczne w połączeniu z odpowiednią opieką periodontologiczną może być kluczem do poprawy Twojego zdrowia jamy ustnej i przywrócenia Ci komfortu życia. To inwestycja, która nie tylko poprawi Twój uśmiech, ale i wpłynie na Twoje samopoczucie.

Z nami możesz odzyskać pewność siebie i cieszyć się zdrowym, pięknym uśmiechem przez wiele lat.

Naszą misją jest dbałość o doskonałe efekty estetyczne,
poprawiające urodę twarzy i pewność siebie!

Dzięki wyleczeniu wady zgryzu, zharmonizowaniu rysów twarzy, wybieleniu zębów oraz zrekonstruowaniu startego uzębienia twarze pacjentów pięknieją. Leczenie ortodontyczne, które przeszli pacjenci w naszym gabinecie zmieniło ich życie na lepsze. Lepsza prezencja osiągnięta dzięki terapii ortodontycznej poprawia samopoczucie i podnosi samoocenę. Staje się także jednym ze źródeł osobistego i zawodowego sukcesu. Nagrodą za ciężką drogę i wysiłek włożony w leczenie ortodontyczne jest atrakcyjny wygląd i większe zadowolenie z życia.

Naszą misją jest dbałość o doskonałe efekty estetyczne, poprawiające urodę twarzy i pewność siebie!

Dzięki wyleczeniu wady zgryzu, zharmonizowaniu rysów twarzy, wybieleniu zębów oraz zrekonstruowaniu startego uzębienia twarze pacjentów pięknieją. Leczenie ortodontyczne, które przeszli pacjenci w naszym gabinecie zmieniło ich życie na lepsze. Lepsza prezencja osiągnięta dzięki terapii ortodontycznej poprawia samopoczucie i podnosi samoocenę. Staje się także jednym ze źródeł osobistego i zawodowego sukcesu. Nagrodą za ciężką drogę i wysiłek włożony w leczenie ortodontyczne jest atrakcyjny wygląd i większe zadowolenie z życia.

Jak to działa

Leczenie ortodontyczne zmienia życie na lepsze!

Konsultacja

Pierwsza wizyta to konsultacja ortodontyczna. Lekarz przeprowadza rozmowę z Pacjentem na temat jego potrzeb i oczekiwań.

Plan leczenia

Po dokładnej analizie zebranych materiałów opracowywany jest indywidualny plan leczenia,
przedstawiany w trakcie dodatkowego spotkania z pacjentem.

Proces leczenia

Przeprowadzany jest pod okiem wykwalifikowanych specjalistów, w oparciu o najnowsze metody i trendy w leczeniu ortodontycznym.