LECZENIE

Autotransplantacja

Autotransplantacja to zabieg, który polega na przeniesieniu własnego zęba pacjenta z jednej części jamy ustnej do innej, w celu uzupełnienia brakującego zęba. Z ortodontycznego punktu widzenia jest to przesunięcie zawiązka zębowego.

Dlaczego warto?

Autotransplantacja to nowoczesna i skuteczna metoda leczenia, która pozwala pacjentowi na odzyskanie własnego zęba – szczególnie w estetycznie ważnym, przednim odcinku szczęki.

>   Autotransplantacja w miejsce 11 – przeniesienie własnego zęba pacjenta w celu uzupełnienia brakującego zęba w przednim odcinku szczęki.

>   Zdjęcie po leczeniu.

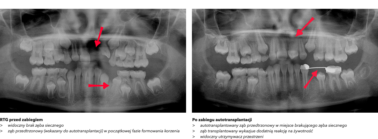
Przypadek kliniczny – autotransplantacja zęba przedtrzonowego

W przypadku naszej pacjentki celem leczenia było szybkie przywrócenie funkcji narządu żucia oraz trwała odbudowa brakującego zęba w przednim odcinku szczęki. Po analizie dostępnych opcji zdecydowano się na autotransplantację dolnego zęba przedtrzonowego, który znajdował się w odpowiedniej fazie rozwoju korzenia.

Co zadecydowało o wyborze tej metody?

•  Wiek pacjentki i stopień rozwoju korzenia dawczego zęba umożliwiały wykonanie zabiegu bez konieczności leczenia kanałowego.
  Przeszczepiony ząb miał realną szansę pozostać żywy i kontynuować rozwój korzenia po zabiegu.
  W trakcie zabiegu z zębem pobrano również fragment kostny, co znacząco wspomogło proces gojenia i stabilizacji przeszczepu.

Przebieg zabiegu

Utracony ząb to górny lewy siekacz przyśrodkowy (21), który został zastąpiony przez dolny ząb przedtrzonowy. Przeszczep z fragmentem kości został precyzyjnie umieszczony w przygotowanej loży kostnej.

Po stronie dawcy, czyli w miejscu usuniętego zęba przedtrzonowego, założono specjalny aparat ortodontyczny, który stabilizował przestrzeń i zapobiegał przesunięciom sąsiednich zębów.

Dalsze postępowanie

W przyszłości – po zakończeniu rozwoju pacjentki – luka po zębie dawcy zostanie: uzupełniona stałym rozwiązaniem protetycznym, lub zamknięta ortodontycznie, poprzez przesunięcie zębów.

Skuteczność i trwałość

Na podstawie dotychczasowego przebiegu leczenia oraz badań radiologicznych, autotransplantację można uznać za rozwiązanie skuteczne i długoterminowe. Według literatury medycznej, zęby przeszczepione w podobny sposób mogą funkcjonować w jamie ustnej nawet przez 40 lat.

Co wyróżnia tę metodę?

•  Naturalny efekt – przeszczepiony ząb jest żywą tkanką, która lepiej integruje się z otaczającymi strukturami niż implant.
•  Zachowanie wzrostu kości – po zabiegu utrzymuje się potencjał wzrostu kości wokół zęba, co wspiera prawidłowy rozwój wyrostka zębodołowego.
•  Alternatywa dla implantów i mostów – w wielu przypadkach przynosi trwalsze i bardziej naturalne rezultaty.
•  Wysoki komfort leczenia – zabieg przeprowadzany jest w znieczuleniu ogólnym, co eliminuje stres i ból.

W połączeniu z leczeniem ortodontycznym autotransplantacja stanowi jedną z najlepszych metod odbudowy utraconego zęba po urazie — zarówno pod względem estetyki, jak i funkcjonalności.

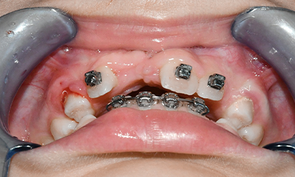
1SEKCJA 5 - FOTO-WIGET_autotransplantacja_PRZED-PO-_2-1 SEKCJA 5 - FOTO-WIGET_autotransplantacja_PRZED-PO-_2-2

>   Zdjęcia pokazują pacjentkę przed i po zabiegu autotransplantacji, a także zmiany w położeniu tkanek miękkich. Po przeprowadzeniu zabiegu, który miał na celu uzupełnienie brakującego zęba siecznego lewego. Osiągnięte zostało poszerzenie i uwypuklenie się okolicy podnosowej.

Kolejne etapy leczenia pacjentki

Naszą misją jest dbałość o doskonałe efekty estetyczne,
poprawiające urodę twarzy i pewność siebie!

Dzięki wyleczeniu wady zgryzu, zharmonizowaniu rysów twarzy, wybieleniu zębów oraz zrekonstruowaniu startego uzębienia twarze pacjentów pięknieją. Leczenie ortodontyczne, które przeszli pacjenci w naszym gabinecie zmieniło ich życie na lepsze. Lepsza prezencja osiągnięta dzięki terapii ortodontycznej poprawia samopoczucie i podnosi samoocenę. Staje się także jednym ze źródeł osobistego i zawodowego sukcesu. Nagrodą za ciężką drogę i wysiłek włożony w leczenie ortodontyczne jest atrakcyjny wygląd i większe zadowolenie z życia.

Naszą misją jest dbałość o doskonałe efekty estetyczne, poprawiające urodę twarzy i pewność siebie!

Dzięki wyleczeniu wady zgryzu, zharmonizowaniu rysów twarzy, wybieleniu zębów oraz zrekonstruowaniu startego uzębienia twarze pacjentów pięknieją. Leczenie ortodontyczne, które przeszli pacjenci w naszym gabinecie zmieniło ich życie na lepsze. Lepsza prezencja osiągnięta dzięki terapii ortodontycznej poprawia samopoczucie i podnosi samoocenę. Staje się także jednym ze źródeł osobistego i zawodowego sukcesu. Nagrodą za ciężką drogę i wysiłek włożony w leczenie ortodontyczne jest atrakcyjny wygląd i większe zadowolenie z życia.

Jak to działa

Leczenie ortodontyczne zmienia życie na lepsze!

Konsultacja

Pierwsza wizyta to konsultacja ortodontyczna. Lekarz przeprowadza rozmowę z Pacjentem na temat jego potrzeb i oczekiwań.

Plan leczenia

Po dokładnej analizie zebranych materiałów opracowywany jest indywidualny plan leczenia,
przedstawiany w trakcie dodatkowego spotkania z pacjentem.

Proces leczenia

Przeprowadzany jest pod okiem wykwalifikowanych specjalistów, w oparciu o najnowsze metody i trendy w leczeniu ortodontycznym.