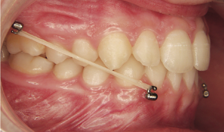
APARATY

MENTOPLATES

Mentoplates to zakotwienia kostne, zwane również minipłytkami ortodontycznymi.
Te niewielkie tytanowe elementy umieszczane tymczasowo w kości (najczęściej w okolicy brody lub kości jarzmowej). Stanowią one stabilny punkt oparcia dla sił ortodontycznych, dzięki czemu możliwe jest przesuwanie całych struktur szczęki lub żuchwy – a nie tylko zębów.

System Mentoplate jest szczególnie polecany u dzieci i młodzieży, ponieważ:

•  umożliwia wczesną korektę przodozgryzu, zanim wada się utrwali,

•  wykorzystuje  potencjał wzrostowy dziecka,

•  stwarza realne szansę na zapobiegnięcie w przyszłości zabiegowi chirurgicznemu lub jeśli zabieg będzie konieczny to ograniczenie jego zakresu.

Leczenie klasy III z wykorzystaniem zakotwień kostnych – nowoczesne rozwiązanie dla dzieci i młodzieży

Wady zgryzu klasy III (progenia, przodozgryz lub wysunięcie żuchwy względem szczęki) należą do jednych z najbardziej wymagających zaburzeń w ortodoncji. Oprócz wpływu na wygląd twarzy mogą powodować trudności w oddychaniu, mowie, żuciu, ścieranie zębów czy przeciążenie stawów skroniowo-żuchwowych. Zaburzenie tych funkcji ma bezpośredni negatywny na rozwój psychofizyczny dziecka i jego edukację, przystosowanie społeczne.

Tradycyjne metody leczenia tej wady – oparte głównie na aparatach osadzonych na zębach – mają swoje ograniczenia. Na szczęście współczesna ortodoncja oferuje nowoczesne i skuteczne rozwiązanie – zakotwienia kostne (minipłytki Mentoplate lub zakotwienia jarzmowe), które pozwalają osiągnąć doskonałe efekty w krótkim czasie.

Skuteczność potwierdzona badaniami

Badania kliniczne wykazały, że stosowanie minipłytek w leczeniu klasy III (m.in. w okolicy jarzmowej i bródkowej) pozwala na uzyskanie rzeczywistego wysunięcia szczęki nawet o kilka milimetrów i poprawę profilu twarzy, bez nadmiernego wychylenia zębów.
Publikacje naukowe w czasopismach takich jak American Journal of Orthodontics & Dentofacial Orthopedics czy Progress in Orthodontics potwierdzają, że: zakotwienia kostne zwiększają efektywność leczenia ortopedycznego klasy III.

Leczenie z wykorzystaniem zakotwień kostnych daje wymierne korzyści:

  • Większa skuteczność – przesunięcie szczęki do przodu w sposób naturalny, przy jednoczesnej kontroli żuchwy.
  • Bezpieczne i precyzyjne leczenie – siły działają na kość, a nie bezpośrednio na zęby, co minimalizuje skutki uboczne.
  • Mniejsze ryzyko leczenia chirurgicznego w dorosłości.
  • Poprawa proporcji twarzy, harmonii profilu i funkcji żucia.

Kiedy warto rozpocząć leczenie?

Im wcześniej rozpocznie się korektę klasy III, tym większe szanse na stabilne efekty bez konieczności operacji.

Zakotwienia kostne typu Mentoplate są szczególnie polecane dla:

• dzieci i młodzieży w okresie wzrostu,
• pacjentów z niedorozwojem szczęki (cofnięta szczęka górna)

Zakotwienia kostne to bezpieczne i precyzyjne leczenie, dające doskonałe efekty w krótkim czasie.

Naszą misją jest dbałość o doskonałe efekty estetyczne,
poprawiające urodę twarzy i pewność siebie!

Dzięki wyleczeniu wady zgryzu, zharmonizowaniu rysów twarzy, wybieleniu zębów oraz zrekonstruowaniu startego uzębienia twarze pacjentów pięknieją. Leczenie ortodontyczne, które przeszli pacjenci w naszym gabinecie zmieniło ich życie na lepsze. Lepsza prezencja osiągnięta dzięki terapii ortodontycznej poprawia samopoczucie i podnosi samoocenę. Staje się także jednym ze źródeł osobistego i zawodowego sukcesu. Nagrodą za ciężką drogę i wysiłek włożony w leczenie ortodontyczne jest atrakcyjny wygląd i większe zadowolenie z życia.

Naszą misją jest dbałość o doskonałe efekty estetyczne, poprawiające urodę twarzy i pewność siebie!

Dzięki wyleczeniu wady zgryzu, zharmonizowaniu rysów twarzy, wybieleniu zębów oraz zrekonstruowaniu startego uzębienia twarze pacjentów pięknieją. Leczenie ortodontyczne, które przeszli pacjenci w naszym gabinecie zmieniło ich życie na lepsze. Lepsza prezencja osiągnięta dzięki terapii ortodontycznej poprawia samopoczucie i podnosi samoocenę. Staje się także jednym ze źródeł osobistego i zawodowego sukcesu. Nagrodą za ciężką drogę i wysiłek włożony w leczenie ortodontyczne jest atrakcyjny wygląd i większe zadowolenie z życia.

Jak to działa

Leczenie ortodontyczne zmienia życie na lepsze!

Konsultacja

Pierwsza wizyta to konsultacja ortodontyczna. Lekarz przeprowadza rozmowę z Pacjentem na temat jego potrzeb i oczekiwań.

Plan leczenia

Po dokładnej analizie zebranych materiałów opracowywany jest indywidualny plan leczenia,
przedstawiany w trakcie dodatkowego spotkania z pacjentem.

Proces leczenia

Przeprowadzany jest pod okiem wykwalifikowanych specjalistów, w oparciu o najnowsze metody i trendy w leczeniu ortodontycznym.