PROCEDURY

Frenuloplastyka, Gingiwoplastyka

Frenuloplastyka to prosty, szybki zabieg, który polega na korekcie wędzideł warg lub języka, czyli cienkich fałd błony śluzowej, które łączą wargi i język z innymi częściami jamy ustnej.

Co warto wiedzieć?

W przypadku wędzideł warg, fałdy te łączą wewnętrzną stronę warg z kośćmi szczęki, a w przypadku wędzidła języka, łączą dolną część języka z dnem jamy ustnej. Wędzidła pomagają kontrolować ruchomość warg i języka, jednak ich nieprawidłowa budowa może prowadzić do różnych problemów.

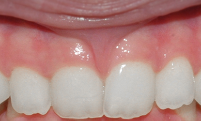
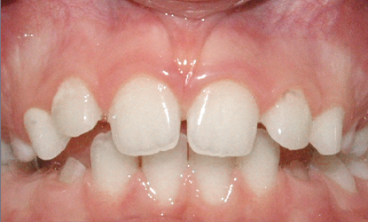
>   Przerost wędzidła wargi górnej.

Kiedy warto wykonać frenuloplastykę?

przyczep wędzideł – zbyt krótkie lub zbyt grube wędzidło, może powodować:

•  trudności w mówieniu i wymawianiu niektórych głosek,
•  rozejście górnych jedynek i powstawanie tzw. diastemy (szpary między zębami),
•  problemy z utrzymaniem higieny jamy ustnej, co może prowadzić do stanów zapalnych dziąseł i próchnicy,
•  problemy estetyczne, szczególnie jeśli wędzidło wargi górnej jest zbyt widoczne.

Zbyt krótkie wędzidełko języka może także utrudniać poruszanie językiem, co wpływa na rozwój mowy i zgryzu.

Jak wygląda zabieg frenuloplastyki?

Zabieg frenuloplastyki jest szybki, trwa około 45 sekund i przeprowadzany jest w znieczuleniu miejscowym. W naszym gabinecie używamy nowoczesnego sprzętu, jak kauter, który pozwala na bezkrwawe zamknięcie naczyń krwionośnych. Dzięki temu proces gojenia jest znacznie szybszy, a pacjent nie musi martwić się o szwy czy długotrwałe rekonwalescencje.

Frenuloplastyka jest bezbolesna i wykonuje się ją u dzieci od około 6. roku życia, a także u dorosłych. W przypadku wędzideł warg, może być konieczne dodatkowe pogłębienie przedsionka jamy ustnej, co poprawia funkcję i estetykę.

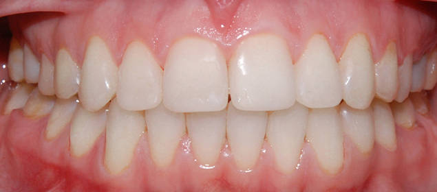
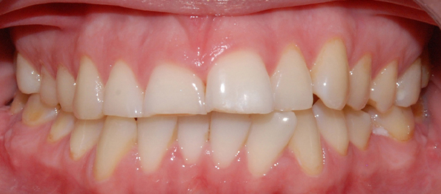
>   Zgryz pacjenta przed i po leczeniu ortodontycznym oraz podcięciu wędzidła wargi górnej.

Dlaczego warto podjąć leczenie?

Problemy z wędzidełkami mogą prowadzić do różnorodnych trudności, takich jak trudności w mówieniu, estetyczne defekty czy problemy z utrzymaniem zdrowia jamy ustnej. Dzięki prostemu zabiegowi frenuloplastyki można skutecznie rozwiązać te problemy, poprawiając komfort życia i wygląd uśmiechu.

Jeśli zauważyłeś jakiekolwiek nieprawidłowości związane z wędzidełkami warg lub języka, skontaktuj się z nami – pomożemy Ci przywrócić komfort i estetykę jamy ustnej!

Gingiwoplastyka – korekta dziąseł

Gingiwoplastyka to zabieg, który ma na celu poprawę wyglądu i kształtu dziąseł w okolicach zębów przednich. Celem tego zabiegu jest skorygowanie nierówności dziąseł, które mogą wystąpić na skutek przerostu, a także poprawa ich estetyki.

Zabieg ten jest często przeprowadzany u pacjentów z wadami zgryzu, którzy wcześniej korzystali z aparatu ortodontycznego. W takich przypadkach gingiwoplastyka pozwala na uzyskanie estetycznego efektu, wyrównując wysokość dziąseł.

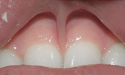
>   Gingiwoplastyka w łuku górnym od kła do kła w celu korekty przebiegu girlandy dziąsłowej.

Kiedy warto wykonać gingiwoplastykę?

Gingiwoplastyka może być potrzebna, gdy:

•  wysokość dziąseł różni się w obrębie poszczególnych zębów,
•  dziąsła są nadmiernie przerośnięte,
•  wyrzynanie zębów jest utrudnione,
•  występuje asymetria dziąseł, co wpływa na estetykę uśmiechu.

W naszej klinice wykonujemy ten zabieg zarówno u dzieci, jak i dorosłych pacjentów, stosując nowoczesne techniki i zapewniając komfortowy przebieg leczenia.

Metamorfoza naszej pacjentki

METAMORFOZY_FOTO_KOREKTA_PRZED-PO__ginkiw0-2 METAMORFOZY_FOTO_KOREKTA_PRZED-PO__ginkiw0-1

>   Pacjentka przed i po leczeniu ortodontycznym oraz podcięciu wędzidła wargi górnej.

Naszą misją jest dbałość o doskonałe efekty estetyczne,
poprawiające urodę twarzy i pewność siebie!

Dzięki wyleczeniu wady zgryzu, zharmonizowaniu rysów twarzy, wybieleniu zębów oraz zrekonstruowaniu startego uzębienia twarze pacjentów pięknieją. Leczenie ortodontyczne, które przeszli pacjenci w naszym gabinecie zmieniło ich życie na lepsze. Lepsza prezencja osiągnięta dzięki terapii ortodontycznej poprawia samopoczucie i podnosi samoocenę. Staje się także jednym ze źródeł osobistego i zawodowego sukcesu. Nagrodą za ciężką drogę i wysiłek włożony w leczenie ortodontyczne jest atrakcyjny wygląd i większe zadowolenie z życia.

Naszą misją jest dbałość o doskonałe efekty estetyczne, poprawiające urodę twarzy i pewność siebie!

Dzięki wyleczeniu wady zgryzu, zharmonizowaniu rysów twarzy, wybieleniu zębów oraz zrekonstruowaniu startego uzębienia twarze pacjentów pięknieją. Leczenie ortodontyczne, które przeszli pacjenci w naszym gabinecie zmieniło ich życie na lepsze. Lepsza prezencja osiągnięta dzięki terapii ortodontycznej poprawia samopoczucie i podnosi samoocenę. Staje się także jednym ze źródeł osobistego i zawodowego sukcesu. Nagrodą za ciężką drogę i wysiłek włożony w leczenie ortodontyczne jest atrakcyjny wygląd i większe zadowolenie z życia.

Jak to działa

Leczenie ortodontyczne zmienia życie na lepsze!

Konsultacja

Pierwsza wizyta to konsultacja ortodontyczna. Lekarz przeprowadza rozmowę z Pacjentem na temat jego potrzeb i oczekiwań.

Plan leczenia

Po dokładnej analizie zebranych materiałów opracowywany jest indywidualny plan leczenia,
przedstawiany w trakcie dodatkowego spotkania z pacjentem.

Proces leczenia

Przeprowadzany jest pod okiem wykwalifikowanych specjalistów, w oparciu o najnowsze metody i trendy w leczeniu ortodontycznym.