APARATY

Miniimplanty ortodontyczne

Miniimplanty ortodontyczne to innowacyjne rozwiązanie w ortodoncji, które zyskuje coraz większą popularność. Są to niewielkie miniśruby, które wkręcane są do kości szczęki lub żuchwy na czas leczenia ortodontycznego, a ich zadaniem jest precyzyjne przesuwanie zębów lub grup zębów. Choć mogą wyglądać na skomplikowane, miniimplanty oferują szereg korzyści i stanowią skuteczną alternatywę dla tradycyjnych metod leczenia.

Skuteczne narzędzie w leczeniu wad zgryzu!

Dlaczego warto zdecydować się na miniimplanty ortodontyczne?

Miniimplanty ortodontyczne to rozwiązanie, które znacząco zwiększa efektywność leczenia ortodontycznego, pozwalając na uzyskanie precyzyjnych, a jednocześnie komfortowych wyników. W przeciwieństwie do tradycyjnych aparatów, miniśruby działają jako stałe punkty zaczepienia, które pozwalają na dokładniejsze i bardziej kontrolowane ruchy zębów. Dzięki miniimplantom ortodontycznym możliwe jest wykonanie trudnych ruchów zębowych, które w innych przypadkach byłyby niemożliwe do osiągnięcia lub wymagałyby długotrwałego leczenia.

Dlaczego warto zdecydować się na miniimplanty ortodontyczne?

1. Mniejsza ingerencja w tkanki

Miniimplanty są znacznie mniejsze od implantów protetycznych, co oznacza, że procedura ich wszczepienia jest mniej inwazyjna i nie wymaga dużych cięć. Ponadto, czas ich noszenia jest ograniczony do okresu leczenia ortodontycznego, co zmniejsza ryzyko komplikacji.

2. Skrócenie czasu leczenia

Dzięki miniimplantom, leczenie ortodontyczne może przebiegać szybciej i skuteczniej. Zmniejsza się konieczność stosowania innych, bardziej skomplikowanych i czasochłonnych metod, co pozwala na szybsze uzyskanie pożądanych rezultatów.

3. Komfort dla pacjenta

Miniimplanty są stosunkowo mało odczuwalne i nie powodują dużego dyskomfortu, co sprawia, że pacjenci, zwłaszcza dzieci i młodzież, lepiej akceptują leczenie.

Kiedy warto rozważyć zastosowanie miniimplantów?

Miniimplanty ortodontyczne są doskonałym rozwiązaniem w wielu przypadkach, szczególnie wtedy, gdy inne metody leczenia są mniej skuteczne lub wymagają dłuższego czasu. Są stosowane głównie w przypadkach, gdzie konieczne jest:

•  Korekta wady zgryzu, zwłaszcza w przypadku trudnych do przesunięcia zębów
•  Leczenie dużych wad zgryzowych, takich jak stłoczenie zębów
•  Ustabilizowanie zębów podczas leczenia ortodontycznego, np. po usunięciu zębów mądrości

Jak przebiega zabieg wszczepienia miniimplantów?

Procedura wszczepienia miniimplantów jest szybka i minimalnie inwazyjna. W znieczuleniu miejscowym, miniimplanty są wkręcane w kość szczęki lub żuchwy, a po kilku minutach są gotowe do użycia. Zabieg jest stosunkowo prosty, a czas rekonwalescencji krótki, co oznacza, że pacjent może wrócić do codziennych obowiązków niemal natychmiast po zabiegu.

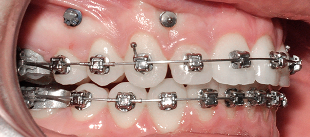
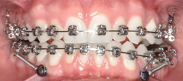
Poniżej przedstawiono zastosowanie miniimplantów w leczeniu ortodontycznym w naszym gabinecie.

>   Różne zastosowanie miniimplantów w leczeniu ortodontycznym.

Naszą misją jest dbałość o doskonałe efekty estetyczne,
poprawiające urodę twarzy i pewność siebie!

Dzięki wyleczeniu wady zgryzu, zharmonizowaniu rysów twarzy, wybieleniu zębów oraz zrekonstruowaniu startego uzębienia twarze pacjentów pięknieją. Leczenie ortodontyczne, które przeszli pacjenci w naszym gabinecie zmieniło ich życie na lepsze. Lepsza prezencja osiągnięta dzięki terapii ortodontycznej poprawia samopoczucie i podnosi samoocenę. Staje się także jednym ze źródeł osobistego i zawodowego sukcesu. Nagrodą za ciężką drogę i wysiłek włożony w leczenie ortodontyczne jest atrakcyjny wygląd i większe zadowolenie z życia.

Naszą misją jest dbałość o doskonałe efekty estetyczne, poprawiające urodę twarzy i pewność siebie!

Dzięki wyleczeniu wady zgryzu, zharmonizowaniu rysów twarzy, wybieleniu zębów oraz zrekonstruowaniu startego uzębienia twarze pacjentów pięknieją. Leczenie ortodontyczne, które przeszli pacjenci w naszym gabinecie zmieniło ich życie na lepsze. Lepsza prezencja osiągnięta dzięki terapii ortodontycznej poprawia samopoczucie i podnosi samoocenę. Staje się także jednym ze źródeł osobistego i zawodowego sukcesu. Nagrodą za ciężką drogę i wysiłek włożony w leczenie ortodontyczne jest atrakcyjny wygląd i większe zadowolenie z życia.

Jak to działa

Leczenie ortodontyczne zmienia życie na lepsze!

Konsultacja

Pierwsza wizyta to konsultacja ortodontyczna. Lekarz przeprowadza rozmowę z Pacjentem na temat jego potrzeb i oczekiwań.

Plan leczenia

Po dokładnej analizie zebranych materiałów opracowywany jest indywidualny plan leczenia,
przedstawiany w trakcie dodatkowego spotkania z pacjentem.

Proces leczenia

Przeprowadzany jest pod okiem wykwalifikowanych specjalistów, w oparciu o najnowsze metody i trendy w leczeniu ortodontycznym.