PROCEDURY

Odbudowa zębów

Odbudowa zębów przed rozpoczęciem leczenia ortodontycznego ma kilka istotnych korzyści, które mogą wpłynąć na efektywność całego procesu oraz na finalny wygląd i funkcję uzębienia.

Korzyści z odbudowy zębów przed rozpoczęciem leczenia ortodontycznego

1. Prawidłowe pozycjonowanie zamków ortodontycznych

Przed odbudową zębów lekarz ortodonta będzie w stanie lepiej zaplanować i zamocować zamki w odpowiednich miejscach. Dobrze odbudowane zęby ułatwiają precyzyjne umiejscowienie zamków, co przekłada się na skuteczniejsze i bardziej efektywne przesuwanie zębów w trakcie leczenia. Jeśli zęby są uszkodzone, pozycjonowanie zamków jest utrudnione, co może obniżyć jakość leczenia.

2. Estetyka

Odbudowane zęby poprawiają wygląd uśmiechu przed rozpoczęciem leczenia oraz w jego trakcie. Zęby w dobrym stanie estetycznym pozwalają na lepszą ocenę końcowego efektu leczenia ortodontycznego, ponieważ ortodonta może zaplanować cały proces, uwzględniając kształt, kolor i rozmieszczenie zębów. Zadbane zęby pozwalają na uzyskanie estetycznego uśmiechu nie tylko po zakończeniu leczenia, ale również w trakcie jego trwania.

3. Prewencja problemów z uzębieniem

Odbudowa zębów przed leczeniem ortodontycznym zmniejsza ryzyko dalszych uszkodzeń i starcia szkliwa zębów podczas noszenia aparatu.

4. Optymalizacja wyników leczenia

Zęby odbudowane przed leczeniem ortodontycznym pozwalają na lepsze zaplanowanie trajektorii ruchu zębów, co może wpłynąć na szybsze i bardziej precyzyjne osiągnięcie pożądanych rezultatów. W ten sposób unikamy konieczności dalszych korekt po zakończeniu leczenia ortodontycznego, co może skrócić czas terapii i zmniejszyć ryzyko komplikacji.

5. Wzór do przyszłego leczenia protetycznego

Odbudowy kompozytowe mogą posłużyć jako szablon pod planowane odbudowy protetyczne – licówki, korony.

Nasze odbudowy

Nasze odbudowy zębów wykonane są z wysokiej jakości kompozytowego materiału, który charakteryzuje się doskonałymi właściwościami estetycznymi i funkcjonalnymi. Dzięki precyzyjnemu dopasowaniu koloru, przejrzystości i struktury materiału, odbudowane zęby idealnie imitują naturalne uzębienie, co zapewnia bardzo naturalny i estetyczny efekt. Ponadto, materiał ten jest wyjątkowo odporny na przebarwienia oraz uszkodzenia mechaniczne, co wpływa na długotrwałą trwałość odbudowy. Jedną z jego głównych zalet jest możliwość łatwego polerowania, co pozwala uzyskać wyjątkowo gładką i lśniącą powierzchnię, a także minimalizować ryzyko osadzania się płytki nazębnej. Dzięki temu odbudowane zęby nie tylko wyglądają bardzo naturalnie, ale także są łatwiejsze do utrzymania w czystości, co jest istotne szczególnie w trakcie leczenia ortodontycznego.

To połączenie estetyki, funkcjonalności i trwałości sprawia, że nasze odbudowy stanowią doskonałą bazę do dalszego leczenia ortodontycznego, zapewniając zarówno komfort, jak i piękny efekt.

Podsumowując, odbudowanie zębów przed leczeniem ortodontycznym nie tylko pozwala na uzyskanie lepszych efektów estetycznych, ale także umożliwia bardziej precyzyjne i skuteczne przeprowadzenie leczenia, co przekłada się na lepszy komfort pacjenta oraz trwałość efektu.

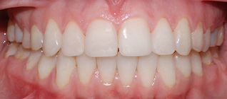
>   Początek leczenia / po demontażu.

Przykład odbudowy

METAMORFOZY_FOTO_KOREKTA_PRZED-PO__ginkiw0-2 METAMORFOZY_FOTO_KOREKTA_PRZED-PO__ginkiw0-1

>   Twarz en face przed i po leczeniu aparatem ortodontycznym.

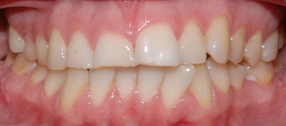
>   Starte uzębienie w odcinku przednim. Na fotografii obok: zgryz po leczeniu ortodontycznym z rekonstrukcją materiałem kompozytowym.

Naszą misją jest dbałość o doskonałe efekty estetyczne,
poprawiające urodę twarzy i pewność siebie!

Dzięki wyleczeniu wady zgryzu, zharmonizowaniu rysów twarzy, wybieleniu zębów oraz zrekonstruowaniu startego uzębienia twarze pacjentów pięknieją. Leczenie ortodontyczne, które przeszli pacjenci w naszym gabinecie zmieniło ich życie na lepsze. Lepsza prezencja osiągnięta dzięki terapii ortodontycznej poprawia samopoczucie i podnosi samoocenę. Staje się także jednym ze źródeł osobistego i zawodowego sukcesu. Nagrodą za ciężką drogę i wysiłek włożony w leczenie ortodontyczne jest atrakcyjny wygląd i większe zadowolenie z życia.

Naszą misją jest dbałość o doskonałe efekty estetyczne, poprawiające urodę twarzy i pewność siebie!

Dzięki wyleczeniu wady zgryzu, zharmonizowaniu rysów twarzy, wybieleniu zębów oraz zrekonstruowaniu startego uzębienia twarze pacjentów pięknieją. Leczenie ortodontyczne, które przeszli pacjenci w naszym gabinecie zmieniło ich życie na lepsze. Lepsza prezencja osiągnięta dzięki terapii ortodontycznej poprawia samopoczucie i podnosi samoocenę. Staje się także jednym ze źródeł osobistego i zawodowego sukcesu. Nagrodą za ciężką drogę i wysiłek włożony w leczenie ortodontyczne jest atrakcyjny wygląd i większe zadowolenie z życia.

Jak to działa

Leczenie ortodontyczne zmienia życie na lepsze!

Konsultacja

Pierwsza wizyta to konsultacja ortodontyczna. Lekarz przeprowadza rozmowę z Pacjentem na temat jego potrzeb i oczekiwań.

Plan leczenia

Po dokładnej analizie zebranych materiałów opracowywany jest indywidualny plan leczenia,
przedstawiany w trakcie dodatkowego spotkania z pacjentem.

Proces leczenia

Przeprowadzany jest pod okiem wykwalifikowanych specjalistów, w oparciu o najnowsze metody i trendy w leczeniu ortodontycznym.