APARATY

Aparaty ruchome - co warto wiedziec?

Aparaty ruchome to urządzenia, które pacjent może samodzielnie zakładać i zdejmować. Są one stosowane głównie w leczeniu retencyjnym, czyli po zakończeniu aktywnej terapii aparatem stałym. Celem takiego leczenia jest utrzymanie uzyskanych efektów, szczególnie u dzieci, które mają jeszcze zęby mleczne obok stałych. Aparat retencyjny pomaga zapobiec nawrotowi wady zgryzu, a u rosnących pacjentów wspiera prawidłowy rozwój jamy ustnej. Pamiętaj! Choć aparaty ruchome są stosunkowo tanie i łatwe do zdobycia, skuteczność leczenia zależy głównie od Twojej samodyscypliny. Aparat wymaga regularnego noszenia przez co najmniej 14-16 godzin dziennie. W przeciwnym razie efekty leczenia mogą być mniej trwałe

Aparaty ruchome dzielą się na:

•  Jednoszczękowe – zakłada się je tylko na jedną szczękę.
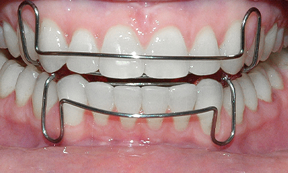
•  Dwuszczękowe – obejmują obie szczęki.

Są one wykonane z kolorowego akrylu, a dodatkowo wyposażone w różne elementy, takie jak:

•  klamry,
•  sprężyny,
•  śruby,
•  łuki wargowe.

Pacjenci mogą wybierać kolor swojego aparatu według własnych preferencji.

Pamiętaj! Skuteczność leczenia zależy głównie od Twojej samodyscypliny. Aparat wymaga regularnego noszenia przez co najmniej 14-16 godzin dziennie. W przeciwnym razie efekty leczenia mogą być mniej trwałe.

Aparaty ruchome

Rodzaje aparatów ruchomych:

•  Płyty Schwarza – wykorzystywane głównie do korekty niewielkich wad zgryzu.
•  Aktywator Klammta – aparat, który pomaga w regulacji funkcji żucia i ułożenia zębów.

Jak wygląda proces leczenia aparatem ruchomym?

Aparat jest wykonywany na podstawie wycisków, które technik pobiera podczas wizyty. Na kolejnej wizycie ortodontycznej aparat jest dopasowywany do jamy ustnej, a pacjent otrzymuje szczegółową instrukcję użytkowania

Ile godzin dziennie należy nosić aparat?

Czas noszenia aparatu zależy od:

•  rodzaju wady,
•  wieku pacjenta,
•  etapu leczenia,
•  podatności zgryzu na zmiany.

To ortodonta ustala indywidualny czas noszenia aparatu dla każdego pacjenta.

Pielęgnacja aparatu ruchomego

Aby aparat był skuteczny, ważna jest jego odpowiednia higiena:

•  Po każdym zdjęciu aparatu, dokładnie umyj go wodą z mydłem lub specjalnym preparatem.
•  Osusz aparat i przechowuj go w twardym, suchym pudełku.
•  Do czyszczenia używaj osobnej szczoteczki do zębów, a od czasu do czasu mocz aparat w specjalnym roztworze do czyszczenia aparatów akrylowych.
•  Unikaj pasty do zębów, ponieważ jej drobinki mogą uszkodzić mechanizmy aparatu.

Regularne wizyty kontrolne

Pamiętaj, by nie zapominać o wizytach kontrolnych. Podczas takich spotkań ortodonta aktywuje aparat, co jest kluczowe dla postępu leczenia i osiągnięcia najlepszych efektów. Regularność wizyt ma ogromne znaczenie dla sukcesu terapii.

Naszą misją jest dbałość o doskonałe efekty estetyczne,
poprawiające urodę twarzy i pewność siebie!

Dzięki wyleczeniu wady zgryzu, zharmonizowaniu rysów twarzy, wybieleniu zębów oraz zrekonstruowaniu startego uzębienia twarze pacjentów pięknieją. Leczenie ortodontyczne, które przeszli pacjenci w naszym gabinecie zmieniło ich życie na lepsze. Lepsza prezencja osiągnięta dzięki terapii ortodontycznej poprawia samopoczucie i podnosi samoocenę. Staje się także jednym ze źródeł osobistego i zawodowego sukcesu. Nagrodą za ciężką drogę i wysiłek włożony w leczenie ortodontyczne jest atrakcyjny wygląd i większe zadowolenie z życia.

Naszą misją jest dbałość o doskonałe efekty estetyczne, poprawiające urodę twarzy i pewność siebie!

Dzięki wyleczeniu wady zgryzu, zharmonizowaniu rysów twarzy, wybieleniu zębów oraz zrekonstruowaniu startego uzębienia twarze pacjentów pięknieją. Leczenie ortodontyczne, które przeszli pacjenci w naszym gabinecie zmieniło ich życie na lepsze. Lepsza prezencja osiągnięta dzięki terapii ortodontycznej poprawia samopoczucie i podnosi samoocenę. Staje się także jednym ze źródeł osobistego i zawodowego sukcesu. Nagrodą za ciężką drogę i wysiłek włożony w leczenie ortodontyczne jest atrakcyjny wygląd i większe zadowolenie z życia.

Jak to działa

Leczenie ortodontyczne zmienia życie na lepsze!

Konsultacja

Pierwsza wizyta to konsultacja ortodontyczna. Lekarz przeprowadza rozmowę z Pacjentem na temat jego potrzeb i oczekiwań.

Plan leczenia

Po dokładnej analizie zebranych materiałów opracowywany jest indywidualny plan leczenia,
przedstawiany w trakcie dodatkowego spotkania z pacjentem.

Proces leczenia

Przeprowadzany jest pod okiem wykwalifikowanych specjalistów, w oparciu o najnowsze metody i trendy w leczeniu ortodontycznym.