PROCEDURY

Stripping

Stripping – delikatne modelowanie szerokości zębów – to bezpieczny zabieg ortodontyczny, który pozwala uzyskać lepsze efekty leczenia bez konieczności usuwania zębów. Dzięki niemu można poprawić estetykę uśmiechu, wyrównać zęby oraz zwiększyć trwałość efektów terapii ortodontycznej.

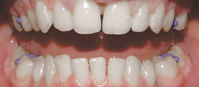
>   Stripping zębów siecznych górnych (wachlarzowaty kształt).

Stripping – delikatne modelowanie szerokości zębów

Na czym polega stripping?

Stripping polega na delikatnym zeszlifowaniu bardzo cienkiej warstwy szkliwa lub wypełnień na bocznych powierzchniach zębów. Ilość usuwanego materiału to jedynie 0,1–0,3 mm, co jest bezpieczne dla zębów. Czasem szlifowanie obejmuje całe łuki zębowe, a czasem tylko wybrane zęby, np. przednie. Po zabiegu powierzchnie zębów są wygładzane i zabezpieczane fluorem.

Kiedy stosuje się stripping?

Na tym etapie lekarz przeprowadza szczegółowe badanie. Dzieli się ono na dwie części:

•  Aby uzyskać więcej miejsca na zęby – jeśli są one stłoczone lub łuki zębowe mają różne proporcje. Stripping może dać nawet 3–4 mm dodatkowej przestrzeni, co pozwala prawidłowo ustawić zęby.
•  Aby poprawić kształt zębów przednich – w przypadku zębów trójkątnych, beczułkowatych czy wachlarzowatych. Dzięki strippingowi można uniknąć powstawania ciemnych przestrzeni między zębami, co poprawia estetykę uśmiechu.

Czy stripping jest bezpieczny?

Tak! Prawidłowo przeprowadzony zabieg nie osłabia szkliwa ani nie zwiększa ryzyka próchnicy. Szkliwo po zabiegu jest polerowane, a pacjentom zaleca się stosowanie pasty i płukanek z fluorem. Może wystąpić krótkotrwała nadwrażliwość na zimno, ale zwykle szybko mija.

Jak wygląda zabieg?

Sripping wykonuje się na kilka sposobów:

•  Ręcznie – przy użyciu cienkich pasków ściernych.
•  Mechanicznie – za pomocą specjalnych krążków lub wierteł.

Zabieg trwa od kilku do kilkunastu minut i jest bezbolesny, ale jeśli pacjent odczuwa dyskomfort, można zastosować miejscowe znieczulenie.

>   Stripping całego łuku dolnego w przypadku braku miejsca dla zębów. Pacjent bez usuwania zębów.

>   Stripping z zaokrągleniem i wygładzeniem brzegów zębów siev=cznych dolnych.

Podsumowanie

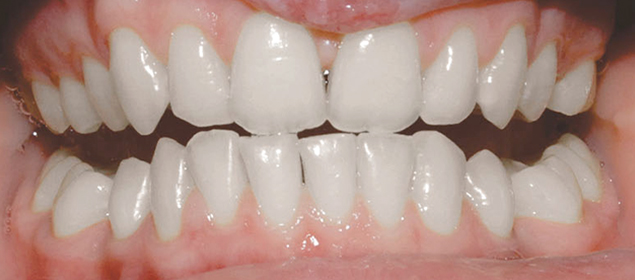
Stripping to szybki i skuteczny sposób na uzyskanie pięknego uśmiechu bez usuwania zębów. Jest bezpieczny, mało inwazyjny i pozwala na lepsze efekty leczenia ortodontycznego.

Naszą misją jest dbałość o doskonałe efekty estetyczne,
poprawiające urodę twarzy i pewność siebie!

Dzięki wyleczeniu wady zgryzu, zharmonizowaniu rysów twarzy, wybieleniu zębów oraz zrekonstruowaniu startego uzębienia twarze pacjentów pięknieją. Leczenie ortodontyczne, które przeszli pacjenci w naszym gabinecie zmieniło ich życie na lepsze. Lepsza prezencja osiągnięta dzięki terapii ortodontycznej poprawia samopoczucie i podnosi samoocenę. Staje się także jednym ze źródeł osobistego i zawodowego sukcesu. Nagrodą za ciężką drogę i wysiłek włożony w leczenie ortodontyczne jest atrakcyjny wygląd i większe zadowolenie z życia.

Naszą misją jest dbałość o doskonałe efekty estetyczne, poprawiające urodę twarzy i pewność siebie!

Dzięki wyleczeniu wady zgryzu, zharmonizowaniu rysów twarzy, wybieleniu zębów oraz zrekonstruowaniu startego uzębienia twarze pacjentów pięknieją. Leczenie ortodontyczne, które przeszli pacjenci w naszym gabinecie zmieniło ich życie na lepsze. Lepsza prezencja osiągnięta dzięki terapii ortodontycznej poprawia samopoczucie i podnosi samoocenę. Staje się także jednym ze źródeł osobistego i zawodowego sukcesu. Nagrodą za ciężką drogę i wysiłek włożony w leczenie ortodontyczne jest atrakcyjny wygląd i większe zadowolenie z życia.

Jak to działa

Leczenie ortodontyczne zmienia życie na lepsze!

Konsultacja

Pierwsza wizyta to konsultacja ortodontyczna. Lekarz przeprowadza rozmowę z Pacjentem na temat jego potrzeb i oczekiwań.

Plan leczenia

Po dokładnej analizie zebranych materiałów opracowywany jest indywidualny plan leczenia,
przedstawiany w trakcie dodatkowego spotkania z pacjentem.

Proces leczenia

Przeprowadzany jest pod okiem wykwalifikowanych specjalistów, w oparciu o najnowsze metody i trendy w leczeniu ortodontycznym.