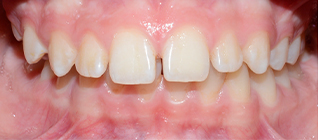
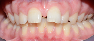
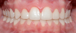
Przedstawiamy Państwu metamorfozy pacjentów leczonych w Praktyce OrthoSmile, którym pomogliśmy podjąć decyzję o leczeniu, przejść wszystkie trudy tej wymagającej terapii, a na końcu wspólnie cieszyć się wspaniałymi rezultatami.
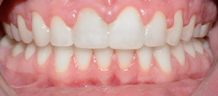
Przedstawiamy Państwu metamorfozy pacjentów leczonych w Praktyce OrthoSmile, którym pomogliśmy podjąć decyzję o leczeniu, przejść wszystkie trudy tej wymagającej terapii, a na końcu wspólnie cieszyć się wspaniałymi rezultatami.
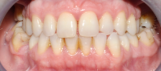
Przedstawiamy Państwu metamorfozy pacjentów leczonych w Praktyce OrthoSmile, którym pomogliśmy podjąć decyzję o leczeniu, przejść wszystkie trudy tej wymagającej terapii, a na końcu wspólnie cieszyć się wspaniałymi rezultatami.
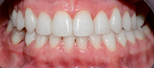
Przedstawiamy Państwu metamorfozy pacjentów leczonych w Praktyce OrthoSmile, którym pomogliśmy podjąć decyzję o leczeniu, przejść wszystkie trudy tej wymagającej terapii, a na końcu wspólnie cieszyć się wspaniałymi rezultatami.
Wszyscy przedstawieni pacjenci udzielili Klinice Orthosmile pisemnej zgody na udostępnienie swojego wizerunku na stronie internetowej.
Zapraszamy serdecznie do kontaktu. Czeka na Ciebie zespół młodych, ambitnych specjalistów, dla których ortodoncja jest prawdziwą pasją.
Zapraszamy do zapoznania się ze szczegółowymi informacjami o stosowanych przez nas aparatach i procedurach.
Copyrights © 2026 Klinika ortodontyczna Orthosmile
Design i wsparcie: Ekipo Magdalena Chuchnowska & Studio Informatyczne