APARATY

Retencja ortodontyczna

Aby zachować trwałość efektów leczenia ortodontycznego i uniknąć nawrotu wady zgryzu, niezwykle ważne jest zastosowanie terapii retencyjnej zaraz po zakończeniu leczenia aparatem stałym. Zęby mają naturalną tendencję do powrotu do swoich wcześniejszych pozycji, dlatego odpowiednia retencja pomaga utrzymać nowy układ zębów.

Leczenie retencyjne obejmuje:

•  retencję stałą,
•  retencję ruchomą,
•  regularne wizyty kontrolne u ortodonty.

Plan retencji jest dostosowywany indywidualnie do potrzeb pacjenta, uwzględniając rodzaj wady, wiek, metodę oraz czas leczenia. W przypadku pacjentów ortodontyczno-protetycznych, w skład terapii retencyjnej wchodzi także wykonanie prac protetycznych po zakończeniu leczenia aparatem stałym.

>   Szyna retencyjna wykonana z tworzywa sztucznego.

Retencja ruchoma

Aparaty ruchome, takie jak szyny retencyjne lub płytki Hawley’a, skutecznie stabilizują uzyskane efekty. Szyna retencyjna jest niemal niewidoczna, wykonana z przezroczystego tworzywa, a płytka Hawley’a zawiera metalowy łuk i akrylową część. Decyzja o wyborze aparatu jest podejmowana przez lekarza, zależnie od stanu zdrowia zębów i innych czynników. Retencja ruchoma jest noszona po zdjęciu aparatu stałego, a lekarz na kolejnych wizytach określa czas jej stosowania.

Retencja stała

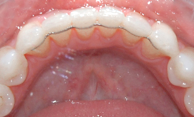
Retainer to cienkie metalowe pasmo, które montuje się na wewnętrznej stronie zębów przednich. Utrzymuje on zęby w nowej pozycji, a czas noszenia jest ustalany indywidualnie. W przypadku niektórych wad zgryzu, aparat może być stosowany przez długi czas, a nawet dożywotnio. Warto pamiętać, że retainer może sprzyjać odkładaniu się płytki nazębnej, dlatego niezbędne jest dbanie o higienę jamy ustnej oraz regularne wizyty na profesjonalną higienizację. Pamiętaj, aby jak najszybciej zgłaszać wszelkie uszkodzenia aparatów retencyjnych – ich niewłaściwe użytkowanie może prowadzić do poważnych problemów. Dzięki właściwej retencji masz pewność, że efekty Twojego leczenia będą długotrwałe i satysfakcjonujące!

>   Retainer ze stali nierdzewnej.

Naszą misją jest dbałość o doskonałe efekty estetyczne,
poprawiające urodę twarzy i pewność siebie!

Dzięki wyleczeniu wady zgryzu, zharmonizowaniu rysów twarzy, wybieleniu zębów oraz zrekonstruowaniu startego uzębienia twarze pacjentów pięknieją. Leczenie ortodontyczne, które przeszli pacjenci w naszym gabinecie zmieniło ich życie na lepsze. Lepsza prezencja osiągnięta dzięki terapii ortodontycznej poprawia samopoczucie i podnosi samoocenę. Staje się także jednym ze źródeł osobistego i zawodowego sukcesu. Nagrodą za ciężką drogę i wysiłek włożony w leczenie ortodontyczne jest atrakcyjny wygląd i większe zadowolenie z życia.

Naszą misją jest dbałość o doskonałe efekty estetyczne, poprawiające urodę twarzy i pewność siebie!

Dzięki wyleczeniu wady zgryzu, zharmonizowaniu rysów twarzy, wybieleniu zębów oraz zrekonstruowaniu startego uzębienia twarze pacjentów pięknieją. Leczenie ortodontyczne, które przeszli pacjenci w naszym gabinecie zmieniło ich życie na lepsze. Lepsza prezencja osiągnięta dzięki terapii ortodontycznej poprawia samopoczucie i podnosi samoocenę. Staje się także jednym ze źródeł osobistego i zawodowego sukcesu. Nagrodą za ciężką drogę i wysiłek włożony w leczenie ortodontyczne jest atrakcyjny wygląd i większe zadowolenie z życia.

Jak to działa

Leczenie ortodontyczne zmienia życie na lepsze!

Konsultacja

Pierwsza wizyta to konsultacja ortodontyczna. Lekarz przeprowadza rozmowę z Pacjentem na temat jego potrzeb i oczekiwań.

Plan leczenia

Po dokładnej analizie zebranych materiałów opracowywany jest indywidualny plan leczenia,
przedstawiany w trakcie dodatkowego spotkania z pacjentem.

Proces leczenia

Przeprowadzany jest pod okiem wykwalifikowanych specjalistów, w oparciu o najnowsze metody i trendy w leczeniu ortodontycznym.