Leczenie

Pierwsza wizyta ortodontyczna dziecka

OrthoSmile zależy nam na jak najlepszym rozwoju zdrowego narządu żucia Twojego dziecka. Leczenie wczesne polega na korekcji ewentualnych problemów zgryzowych, eliminowaniu patologii i parafunkcji, a także przygotowywaniu prawidłowego środowiska dla dalszego rozwoju zębów i stawów skroniowo-żuchwowych. Sprawdź, jak wygląda pierwsza wizyta ortodontyczna dziecka!

Nasza praktyka specjalizuje się w leczeniu wczesnych zaburzeń zgryzu u dzieci. Dr n.med. Alina Strzałkowska to jeden z nielicznych specjalistów w Polsce zajmujących się również leczeniem pacjentów z rozszczepami wargi i podniebienia.

Jak wygląda pierwsza wizyta dziecka u ortodonty?

  • zebranie wywiadu
  • przeprowadzenie badania klinicznego (zewnątrzustnego, wewnątrzustnego),
  • badania RTG
  • pobranie wycisków do modeli diagnostycznych.

 

Celem ustalenia planu leczenia niezbędna jest wnikliwa analiza zgromadzonej dokumentacji medycznej zbieranej podczas diagnostyki.

Etapy pierwszej wizyty:

1. Wywiad

Podczas pierwszej wizyty przeprowadzamy rozmowę z rodzicami lub opiekunami dziecka. Pozwoli to poznać potrzeby i oczekiwania dotyczące leczenia ortodontycznego, a także umożliwi zebranie informacji o ogólnym stanie zdrowia dziecka.

2. Badanie kliniczne

Na tym etapie lekarz przeprowadza szczegółowe badanie. Dzieli się ono na dwie części:

  Zewnątrzustne – ocena rysów twarzy.
  Wewnątrzustne – ocena zgryzu i stanu uzębienia.

Dodatkowo wykonujemy sesję zdjęciową, aby dokumentować wyniki badania. Zrobimy wszystko, by dziecko czuło się komfortowo i bezpiecznie – po kolei wyjaśnimy każdy krok procesu.

3. Wyciski

Kolejnym etapem jest pobranie wycisków zębów przy użyciu kolorowych łyżek wyciskowych i „magicznej” masy, która zmienia kolor – od fioletowego, przez różowy, aż do białego. Dzieci często fascynują się tym procesem, który można obserwować na każdym etapie.

Aby uniknąć nieprzyjemnych odruchów, prosimy, by dziecko nie jadło przed wizytą.

4. RTG

Wykonujemy dwa zdjęcia rentgenowskie: pantomogram i cefalogram. Wszystko odbywa się przy minimalnej dawce promieniowania, specjalnie dopasowanej do potrzeb małych pacjentów.

5. Zakończenie wizyty

Po zakończeniu wszystkich procedur, za odwagę i współpracę, dziecko otrzymuje drobny upominek. To nasz sposób na docenienie pozytywnego podejścia do leczenia.

Kolejne kroki

Po pierwszej wizycie gromadzimy wszystkie dane i opracowujemy indywidualny plan leczenia. Rodzice będą mogli zapoznać się z planem podczas kolejnej wizyty – osobiście lub online. Na tym spotkaniu szczegółowo omówimy wszystkie aspekty leczenia, odpowiemy na pytania i rozwiejemy wątpliwości. Po zaakceptowaniu planu leczenia i podpisaniu umowy, umawiamy kolejną wizytę, na której rozpoczniemy realizację zaplanowanych procedur.

Efekty

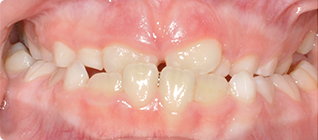
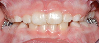
1METAMORFOZY_FOTO_DZIECKO_01_PRZED 1METAMORFOZY_FOTO_DZIECKO_01_PO

>   Dziecko z wadą klasy III, leczone za pomocą aparatu hybrydowego typu Hyrax oraz maski Delaire’a.

Naszą misją jest dbałość o doskonałe efekty estetyczne,
poprawiające urodę twarzy i pewność siebie!

Dzięki wyleczeniu wady zgryzu, zharmonizowaniu rysów twarzy, wybieleniu zębów oraz zrekonstruowaniu startego uzębienia twarze pacjentów pięknieją. Leczenie ortodontyczne, które przeszli pacjenci w naszym gabinecie zmieniło ich życie na lepsze. Lepsza prezencja osiągnięta dzięki terapii ortodontycznej poprawia samopoczucie i podnosi samoocenę. Staje się także jednym ze źródeł osobistego i zawodowego sukcesu. Nagrodą za ciężką drogę i wysiłek włożony w leczenie ortodontyczne jest atrakcyjny wygląd i większe zadowolenie z życia.

Naszą misją jest dbałość o doskonałe efekty estetyczne, poprawiające urodę twarzy i pewność siebie!

Dzięki wyleczeniu wady zgryzu, zharmonizowaniu rysów twarzy, wybieleniu zębów oraz zrekonstruowaniu startego uzębienia twarze pacjentów pięknieją. Leczenie ortodontyczne, które przeszli pacjenci w naszym gabinecie zmieniło ich życie na lepsze. Lepsza prezencja osiągnięta dzięki terapii ortodontycznej poprawia samopoczucie i podnosi samoocenę. Staje się także jednym ze źródeł osobistego i zawodowego sukcesu. Nagrodą za ciężką drogę i wysiłek włożony w leczenie ortodontyczne jest atrakcyjny wygląd i większe zadowolenie z życia.

Jak to działa

Leczenie ortodontyczne zmienia życie na lepsze!

Konsultacja

Pierwsza wizyta to konsultacja ortodontyczna. Lekarz przeprowadza rozmowę z Pacjentem na temat jego potrzeb i oczekiwań.

Plan leczenia

Po dokładnej analizie zebranych materiałów opracowywany jest indywidualny plan leczenia,
przedstawiany w trakcie dodatkowego spotkania z pacjentem.

Proces leczenia

Przeprowadzany jest pod okiem wykwalifikowanych specjalistów, w oparciu o najnowsze metody i trendy w leczeniu ortodontycznym.